Ce este un nodul pulmonar și de ce apare?


Verificat și aprobat de medicul Leonardo Biolatto
Cancerul ar putea fi primul lucru care îți vine în minte atunci când auzi că cineva are un nodul pulmonar. Ce este un nodul pulmonar și de ce apare? Acesta reprezintă, de cele mai multe ori, o afecțiune benignă, chiar dacă ar putea exista o legătură între nodul și cancer.
Ce este un nodul pulmonar?
Un nodul pulmonar este o masă care măsoară între cinci și treizeci de milimetri. Este o afecțiune din ce în ce mai frecventă, iar estimările indică faptul că afectează aproximativ 0,2% din populație. Vestea bună este că aproape 60% dintre acești noduli sunt benigni.
Cauzele acestei boli variază de la infecții la tumori. Cei mai mulți noduli pulmonari sunt descoperiți accidental atunci când se efectuează o scanare CT (tomografie computerizată) sau o radiografie.
Este important ca această boală să fie diagnosticată devreme pentru a evita complicațiile și a exclude ceva mai grav. În articolul de astăzi, îți vom explica tot ceea ce trebuie să știi despre nodulii pulmonar și simptomele acestora.
Cauzele apariției nodulilor pulmonari
Așa cum am menționat mai sus, un nodul pulmonar este o masă crescută plămâni. Cauzele apariției sale variază. Cele mai multe dintre ele au la bază o infecție – fie bacteriene, fie fungică, fie parazitară.
În ceea ce privește cauzele infecțioase, reține faptul că nodulii pulmonari sunt frecvenți la persoanele cu tuberculoză.
Boala neoplazică
În prezent, primul lucru pe care îl va face un medic este să excludă faptul că nodulul pulmonar ar putea fi cancerigen. Cancerul pulmonar este unul dintre cele mai frecvente tipuri de cancer.
În astfel de cazuri, nodulii vor avea un aspect neregulat, cu margini slab definite; acest lucru este vizibil la radiografie. De asemenea, nodulii cancerigeni sunt, de obicei, mai mici decât cei benigni. Factorii de risc care duc la apariția tumorilor maligne sunt:
- Fumatul
- Vârsta peste 35 de ani
- Un istoric de cancer
- Creșterea rapidă a nodulului pulmonar în ultimele luni
Cu toate acestea, este important să știm că nu toți nodulii pulmonari neoplazici sunt maligni. Există și forme benigne, deși acestea sunt mai puțin frecvente decât cele dintâi.
Citește și:

Alte cauze ale apariției nodulilor pulmonari
Există multe alte boli care pot provoca această tulburare pulmonară (de exemplu, anumite procese autoimune, cum ar fi granulomatoza lui Wegener sau nodulul reumatoid; ambele afecțiuni sunt însă rare).
În mod similar, nodulii pulmonari pot apărea din cauza traumelor la unele persoane. Acest lucru apare cel mai probabil ca urmare a unei boli metabolice numite amiloidoză sau după un chist bronșic.
Cum diagnostichează medicii un nodul pulmonar?
În primul rând, este esențial ca medicul să aibă în față istoricul medical complet al pacientului pentru a diagnostica nodulul pulmonar și a determina cauza acestuia. Pacientul trebuie să spună dacă a avut anterior TBC sau dacă a fost expus anumitor infecții sau a intrat în contact cu persoane infectate.
De asemenea, este important ca medicul să știe dacă pacientul fumează sau nu. Multe studii au arătat faptul că o mare parte a nodulilor pulmonari sunt cancerigeni și sunt legați de fumat.
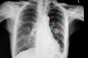
După aflarea acestor informații, medicul trebuie să efectueze anumite teste imagistice pentru a localiza nodulul. În plus, imaginile îi vor permite să observe anumite caracteristici, cum ar fi forma și dimensiunea nodulului. Aceste valori sunt importante pentru diferențierea unui nodul benign de unul posibil malign.
Cel mai frecvent mod de a diagnostica nodulul pulmonar este prin radiografie toracică și tomografii computerizate. Pentru a afla cauza exactă a unui nodul pulmonar, medicii fac uneori biopsii, deoarece acestea le permit să analizeze țesutul.
Citește și:

Care este cel mai bun tratament pentru nodulii pulmonari?
Tratamentul potrivit va depinde de cauza care a dus la apariția nodulului pulmonar. În primul rând, poate fi necesară administrarea de antibiotice sau antifungice atunci când nodulul pulmonar apare din cauza unui proces infecțios.
În al doilea rând, atunci când cauza este neclară, tratamentul se va concentra asupra riscului de cancer al pacientului. De exemplu, tinerii nefumători al căror nodul nu pare a fi malign pot merge pur și simplu la controale periodice pentru a verifica dacă aspectul tumorii suferă modificări.
În mod similar, dacă există un risc crescut de cancer, este important ca medicul să efectueze o biopsie. Ulterior, dacă rezultatul este unul pozitiv, va urma o intervenție chirurgicală pentru eliminarea nodulului pulmonar. Atunci când intervenția chirurgicală nu este fezabilă, se poate recurge la chimioterapie sau radioterapie.
În cele din urmă, trebuie să evidențiem impactul negativ al tutunului asupra plămânilor. Trebuie să fii conștient de riscul implicat și să te prezinți frecvent la controale medicale pentru a diagnostica acest tip de patologie cât mai curând posibil.
Toate sursele citate au fost revizuite în profunzime de către echipa noastră pentru a asigura calitatea, fiabilitatea, actualitatea și valabilitatea lor. Bibliografia acestui articol a fost considerată fiabilă și precisă din punct de vedere academic sau ştiinţific.
- Un nódulo pulmonar solitario | Medicina Integral. (n.d.). Retrieved December 24, 2019, from https://www.elsevier.es/es-revista-medicina-integral-63-articulo-un-nodulo-pulmonar-solitario-13046283
- Nódulos pulmonares: ¿Pueden ser cancerosos? Mayo Clinic. https://www.mayoclinic.org/es-es/diseases-conditions/lung-cancer/expert-answers/lung-nodules/faq-20058445#:~:text=Los%20n%C3%B3dulos%20pulmonares%20no%20cancerosos%20generalmente%20no%20requieren%20tratamiento.,o%20cambia%20con%20el%20tiempo.
- Prevención del cáncer de pulmón (PDQ®)–Versión para profesionales de salud. Instituto Nacional del Cáncer. https://www.cancer.gov/espanol/tipos/pulmon/pro/prevencion-pulmon-pdq
Acest text este oferit numai în scop informativ și nu înlocuiește consultarea cu un profesionist. În caz de îndoieli, consultați-vă cu specialistul dvs.







