Traumatismul dentar: ce este și ce tipuri există?


Scris și verificat de medicul stomatolog Vanesa Evangelina Buffa
Traumatismul dentar este foarte frecvent în timpul copilăriei și al adolescenței, deși poate apărea și la adulți. După carii, este al doilea motiv pentru consultația dentară.
Este o leziune a dinților și a țesuturilor care îi înconjoară ca urmare a unui impact sau a unei lovituri. Acest lucru generează probleme estetice, de mestecare și de vorbire. Acționarea urgentă și cu determinare îmbunătățește prognosticul situației.
În acest articol, vă vom spune de ce apar aceste leziuni, ce tipuri există și cum sunt tratate. De asemenea, veți afla ce puteți face pentru a reduce riscul loviturilor la gură.
Traumatismul dentar: factori de risc
O lovitură la nivelul gurii care provoacă traume dentare se poate întâmpla oricând și la orice vârstă. Dar există factori ce cresc frecvența în anumite circumstanțe:
- Primii pași: atunci când copilul învață să se miște singur, nu își stăpânește pe deplin echilibrul și căderile sunt frecvente. Împiedicarea de mobilier, covoare sau alte obiecte și căderea pot provoca traume dentare.
- Jocuri pentru copii: joaca, aruncatul obiectelor, căzăturile din leagăn, de pe biciclete, patine și skateboard-uri, etc.
- Sportul: practicarea unor sporturi, în special a celor de contact, predispune la leziuni ale dinților.
- Accidente auto: aceasta este o cauză care poate duce la traume dentare la orice vârstă.
- Abuz fizic: loviturile în gură pot provoca traume dentare. Abuzul asupra copiilor este o cauză a leziunilor dinților.
- Lupte: luptele sunt un factor predispozant la apariția leziunilor dentare.
- Condiții medicale: pacienții care au probleme de mobilitate, epilepsie sau hiperactivitate prezintă un risc mai mare de a-și lovi gura.
- Dependențe: persoanele cu dependență de alcool și droguri sunt, de asemenea, mai susceptibile de a suferi traume dentare.
- Afecțiuni ale gurii: morfologia facială și orală face ca unii pacienți să fie mai expuși riscului de a-și răni dinții atunci când suferă o lovitură. Anumite malocluzii, care expun incisivii superiori ca urmare a suptului degetelor, utilizării prelungite a suzetei sau a biberonului sau respirației pe gură, favorizează deteriorarea mai frecventă a dinților.
Traumatismul dentar: tipuri
Traumatismele dentare se pot manifesta în moduri diferite, pot afecta mai multe țesuturi și pot avea diverse grade de severitate. În plus, dinții traumatizați pot fi temporari sau permanenți. De aceea, tratamentul diferă.
Diferitele tipuri de traume dentare sunt explicate mai jos, în funcție de țesuturile afectate.
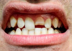
Traumatismul coroanei dentare
Leziunea implică partea vizibilă a dintelui. În funcție de țesuturile afectate, se pot distinge următoarele tipuri de fracturi ale coroanei:
- Incomplete sau cu afectarea smalțului: linia de fractură nu ajunge sau se oprește la joncțiunea amelodentinară. Prin urmare, compromite doar smalțul, fără a implica dentina. Arată ca o fisură în smalț și nu există pierderi de țesut dentar, fiind dificil de văzut cu ochiul liber. Dentistul va putea pune diagnosticul cu transiluminare și trata leziunea în timp util.
- Coronare sau amelodentinare fără afectarea pulpei: în acest caz există, pierderea țesuturilor dentare și leziunea implică doar smalțul sau smalțul și dentina, dar fără a expune pulpa.
- Coronare complicate sau amelodentinare cu afectarea pulpei: pierderea țesutului implică atât smalțul, cât și dentina și este suficient de profundă pentru a expune țesutul pulpar.
Vedeți și:

Traumatismul radicular
Zona rădăcinii dintelui care se află în os este compromisă. Se disting două tipuri în funcție de sectorul în care apare leziunea:
- Fractura rădăcinii intraalveolare: fractura are loc în zona rădăcinii dintelui și poate fi localizată în treimea coronară, mijlocie sau apicală a acestuia. Poate fi orizontală sau verticală.
- Fractura coroanei: implică atât coroana, cât și rădăcina dintelui. Poate exista sau nu expunerea de pulpă, iar țesuturile implicate sunt smalțul, dentina și cementul radicular.
Traumatismul țesuturilor parodontale
Leziunile pot afecta și țesuturile care protejează și susțin dinții. Următoarele sunt afecțiunile țesutului parodontal:
- Subluxație: fibrele parodontale care susțin dintele sunt deteriorate, dar rămân în poziția obișnuită, în interiorul prizei. Nu există deplasare a elementului dentar, dar există mobilitate și sângerări din interior.
- Luxație laterală: țesutul parodontal este deteriorat și dintele prezintă mobilitate. Acesta se deplasează înainte sau înapoi. Osul alveolar este, de asemenea, fracturat.
- Extrudare: deteriorarea determină desfacerea dintelui și deplasarea parțială din priză. Acesta ajunge la linia ocluziei în comparație cu dinții vecini.
- Intruziune: elementul dentar se deplasează apical, în osul alveolar. Dintele pare scufundat în țesutul osos. Deteriorarea implică ligarea parodontală și cementul radicular. Priza este fracturată și alimentarea neurovasculară a pulpei este întreruptă.
- Avulsie dentară: este cea mai complexă și gravă situație clinică. Dintele este complet expulzat din priză. Uneori este chiar aruncat din gură. Când se întâmplă acest lucru la un element permanent, ideal este ca dintele să fie pus într-un mediu adecvat și dus urgent la dentist, astfel încât să poată fi reimplantat în gură.
Traumatismul osos
Deteriorarea gurii poate fractura osul alveolar. Leziunea implică doar țesutul osos sau este combinată cu una dintre celelalte leziuni pe care le-am menționat deja. Dinții cu fracturi alveolare se mișcă în bloc cu tot țesutul înconjurător. Există și accidente mai grave în care oasele maxilarului sau fața sunt compromise.
Diagnosticul și tratamentele traumatismelor dentare
Cel mai bine este să mergeți la dentist cât mai urgent posibil. Tratarea imediată a leziunilor îmbunătățește foarte mult prognosticul și favorizează succesul abordărilor. Profesionistul va examina și palpa zona afectată, va face radiografii, va evalua țesuturile moi și dure, va analiza mobilitatea dinților și vitalitatea lor și va determina cel mai bun tratament pentru fiecare caz în parte.
Terapia depinde de tipul dinților: temporari sau permanenți. Unele dintre terapiile care pot fi necesare sunt următoarele:
Tratamentul țesuturilor moi
O lovitură în gură nu afectează doar dinții. Țesuturile moi, cum ar fi buzele, limba și obrajii, sunt rănite. La primirea pacientului, medicul dentist va examina toate părțile implicate. Țesuturile gurii sângerează ușor și abundent. Profesionistul va curăța și va aplica presiune pentru a opri sângerarea. În unele cazuri, pot fi necesare unele cusături.
Tratamentul topic cu fluor
Atunci când traumatismele dentare afectează doar smalțul, marginile zonei afectate sunt pilite pentru a evita frecarea cu țesuturile moi. În plus, țesutul adamantin este protejat prin plasarea fluorului pe suprafața dintelui.
Reconstrucția coroanei după traumatismul dentar
Dacă trauma dentară a cauzat pierderea țesuturilor din coroana dentară, aceasta trebuie reconstruită. Acest procedeu se efectuează atât pe dinții primari, cât și pe cei permanenți.
Umpluturile din materiale estetice sunt folosite pentru a restabili forma și anatomia dintelui. În cazul în care pacientul aduce fragmentul dintelui rupt și, dacă acesta este permanent, se poate încerca prinderea acestuia de elementul fracturat.
Protejarea pulpei și a canalelor radiculare
Când fractura nu compromite doar smalțul și dentina, ci și pulpa, este necesar un tratament special. Tipul de tratament va depinde de dentiție (temporară sau permanentă), de amploarea fracturii și, în cazul dinților permanenți, de apexul rădăcinii (deschis sau deja închis).
Dacă ruperea dintelui temporar este iminentă, este de preferat ca el să fie scos în așteptarea erupției dintelui permanent. Dacă există un timp îndelungat înainte de înlocuirea dentară, este necesară protecția pulpei.
La dinții permanenți, dacă vârful rădăcinii nu s-a închis încă, sunt plasate substanțe speciale pentru a ajuta la închiderea apicală. Dacă vârful este complet format, se efectuează endodonția sau tratamentul canalului radicular. Coroana este apoi reconstruită. Acest lucru se poate face folosind coroane dentare atunci când pierderea de țesut a fost foarte mare.
Relocarea dintelui și imobilizarea cu atele
Atunci când dinții permanenți sunt afectați de fracturi radiculare, fracturi osoase alveolare, luxații sau extruziuni sau există mobilitate, aceștia trebuie să fie mutați în orificiul lor. Pentru aceasta, medicul dentist anesteziază zona și, după radiografii, repoziționează dinții.
Dinții trebuie imobilizați folosind o atelă din fibre și rășini care îi mențin în poziție până la vindecarea țesuturilor de susținere. Evitarea contactului ocluzal și solicitarea îngrijirii postoperatorii este extrem de necesară pentru a evita complicațiile și pentru a ajuta la recuperare. Trebuie efectuate controale periodice și vor fi necesare tratamente speciale.
Dacă modificările menționate anterior afectează elemente temporare, se evaluează deteriorarea rădăcinii permanente subiacente și se ia în considerare cea mai bună opțiune. Dacă dintele este extras și durează mult timp până la erupția finală, se folosește un menținător de spațiu pentru a salva locul.
Așteptarea sau stimularea erupției
Acest lucru se face în unele cazuri de intruziune dentară. Radiografiile sunt vitale pentru a vedea poziția dintelui în os și relația acestuia cu alte structuri.
Dacă este un dinte temporar, trebuie evaluată deteriorarea rădăcinii care se formează în os. Dacă aceasta este afectată, elementul temporar trebuie eliminat. În cazul în care nu există deteriorări ale părții finale sau dacă este un element permanent, organismul va provoca o extrudare spontană.
La dinții definitivi, dacă elementul nu coboară de la sine, poate fi mutat sub anestezie și apoi așezat, așa cum am explicat deja. În plus, dintele poate fi coborât folosind ortodonția. Tratamentul endodontic al dintelui este întotdeauna necesar.

Reimplantarea dinților după traumatismul dentar
Dacă un dinte definitiv a fost complet împins afară din gură, scopul este reimplantarea sa. Un dinte de lapte care a ieșit nu trebuie reintrodus niciodată, deoarece există riscul de a deteriora dintele final care se formează în interiorul osului. Se așteaptă erupția permanentă și, dacă trece prea mult timp, se folosește un întreținător de spațiu pentru a salva locul.
Pentru a pune la loc un dinte, este esențial ca pacientul să caute elementul expulzat și să meargă la dentist cât mai curând posibil. Evitați atingerea rădăcinii dintelui. Acesta trebuie spălat sub apă timp de câteva secunde, fără frecare. Apoi, trebuie transportat într-un pahar cu lapte, apă distilată sau, dacă nu este posibil, în gura pacientului, având grijă ca acesta să nu-l înghită.
Când pacientul ajunge la medicul dentist, profesionistul va pune dintele la loc după anestezierea zonei. Îl va imobiliza cu atele pentru a favoriza reintegrarea acestuia în cavitatea bucală.
Piesa trebuie pilită pentru a nu intra în contact cu ceilalți dinți. Trebuie urmată o dietă cu alimente moi și vor fi necesare controale periodice pentru a evalua procesul de recuperare. Endodonția este și ea necesară. Pacientul trebuie să aibă făcut vaccinul împotriva tetanosului.
Vedeți și:
Cum să preveniți traumatismele dentare
De multe ori, este imposibil să evitați loviturile la gură și traumatismul dentar. Cu toate acestea, punerea în practică a acestor sfaturi vă poate ajuta să reduceți riscul de traume dentare:
- Creați spații sigure pentru copiii mici și evitați alergatul.
- Evitați jocurile violente.
- Purtați echipament de protecție pentru sport și atunci când folosiți biciclete și patine.
- Purtați centuri de siguranță atunci când călătoriți.
Așa cum am menționat deja, dacă traumatismul dentar apare, acționarea determinată, calmă și rapidă poate face diferența. Mersul la dentist cât mai curând posibil va ajuta la refacerea zâmbetului deteriorat.
Toate sursele citate au fost revizuite în profunzime de către echipa noastră pentru a asigura calitatea, fiabilitatea, actualitatea și valabilitatea lor. Bibliografia acestui articol a fost considerată fiabilă și precisă din punct de vedere academic sau ştiinţific.
- García Ballesta, Carlos, Leonor Pérez Lajarín, and Isabel Castejón Navas. “Prevalencia y etiología de los traumatismos dentales: Una revisión.” RCOe 8.2 (2003): 131-141.
- Sánchez, Tamara Batista, et al. “Traumatismos dentarios en niños y adolescentes.” Correo Científico Médico de Holguín 20.4 (2016): 741-756.
- Leyva Infante, Maite, et al. “El traumatismo dental como urgencia estomatológica: a stomatologic emergency.” Correo Científico Médico 22.1 (2018): 66-78.
- Pasarón Pérez, María Victoria, et al. “Nivel de conocimientos en pacientes con traumatismo dental.” Revista Médica Electrónica 39.1 (2017): 24-32.
- Oliveira-del Río, Juan A., Alcira M. Alvarado-Solórzano, and Betty E. Guanotoa-Lincango. “Características de traumatismo dental en niños de 5-13 años de edad.” Polo del Conocimiento 3.5 (2018): 150-159.
- Torres Silva, María del Carmen, et al. “Factores predisponentes de trauma dental en escolares del municipio Rafael Freyre.” Correo Científico Médico 21.3 (2017): 798-808.
- Zaldivar, Héctor Andrés Naranjo. “Traumatismos dentarios: un acercamiento imprescindible.” 16 de Abril 56.265 (2017): 113-118.
- ENDODONCIA, EN. ABORDAJE CLÍNICO DE TRAUMATISMOS DENTARIOS LUXACIÓN LATERAL Y FRACTURA RADICULAR. Diss. UNIVERSIDAD NACIONAL DE CUYO, 2020.
- SALVATORE, OD ANA CARLA. “Avulsión dentaria. Tratamiento y seguimiento a 9 años. A propósito de un caso clínico.”
- VALLEJO, ERICA DAYANA QUITO. “MANEJO CLÍNICO DE DIENTE PERMANENTE AVULSIONADO. REPORTE DE CASO.” Odontología Activa Revista Científica 4.3 (2019): 47-52.
- Duarte, Luis A. Jeffers. “Reimplante Dentario en Diente Avulsionado. Presentación de un Caso.” Revista Científica Hallazgos21 2.3 (2017).
- Luján, Gabriela, and Gabriela Gioino. “Traumatismos dentarios.”
Acest text este oferit numai în scop informativ și nu înlocuiește consultarea cu un profesionist. În caz de îndoieli, consultați-vă cu specialistul dvs.







