Ce sunt gingiile în retragere și de ce apar ele?


Scris și verificat de medicul stomatolog Vanesa Evangelina Buffa
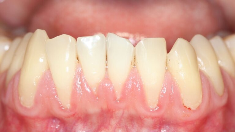
Unii oameni cred că dinții lor sunt mai lungi decât în mod normal. În plus, țesutul roz de deasupra dinților pare mai subțire. Ei bine, cel mai probabil gingiile lor sunt în retragere. Această tulburare, pe lângă consecințele estetice, poate să afecteze funcționarea normală a gurii. De aceea, este important să o abordăm din timp și cu ajutorul medicului stomatolog.
Ce sunt gingiile în retragere și de ce apar ele?
Guma sau țesutul gingival este partea moale, fermă, roz care înconjoară gâtul dinților. Adică acoperă ceea ce ar fi rădăcina elementelor dentare, pe care în condiții normale, nu le putem vedea.
Tesutul gingival are functia de a proteja osul si radacina dintelui. In plus, ofera fermitate dintilor astfel incat sa ramana pe loc.
Putem spune că există gingii în retragere sau recesiune gingivală atunci când acest țesut se mișcă, lăsând rădăcina vizibilă. Potrivit unei publicații științifice din 2015, afecțiunea expune legătura dintre cimentul dentar și smalț.
Acest lucru provoacă efectul „dinților mai lungi”. În realitate, fiecare dinte măsoară la fel, doar că acum putem observa rădăcina, care ar trebui să fie sub gingie.
Ce presupune retragerea gingiilor?
Dincolo de afectarea esteticii și aspectului zâmbetului, există consecințe asupra sănătății fizice ale recesiunii gingivale. În primul rând, rădăcinile, care ar trebui protejate, devin susceptibile la acțiunea plăcii bacteriene.
În plus, rădăcina este foarte sensibilă la stimulii externi. Mai mult de jumătate dintre pacienții cu această problemă au de obicei sensibilitate dentară, în special la mestecat sau periaj.
Pe de altă parte, cimentul dentar, care este un țesut care acoperă suprafața rădăcinilor, nu este pregătit pentru a face față condițiilor externe. Deci tulburarea este asociată cu un risc mai mare de carii.
Situația devine mai frecventă odată cu îmbătrânirea. Datorită retragerii din cauza vârstei, adulții în vârstă sunt mai expuși la dezvoltarea cariilor radiculare, adică în rădăcinile dinților lor.
Descoperiți și: Gingivita ulcerativă necrotizantă acută: tratament
Simptome comune
Pe lângă faptul că observați că dinții dvs. par mai lungi sau că gingiile se mișcă mai mult în sus sau în jos, este posibil să aveți unele simptome asociate cu retracția, cum ar fi următoarele:
- Disconfort la masă, din cauza sensibilității dentare la alimente calde sau reci.
- Sângerarea gingiilor, deoarece aranjarea țesutului favorizează inflamația și rănirea la periaj.
- Respirația urât mirositoare, datorită prezenței mai mari a plăcii bacteriene. Acest lucru se întâmplă de obicei pentru că pacienții se periază mai puțin sau cu o tehnică incorectă, din cauza disconfortului cauzat de sensibilitate.
Care sunt cauzele retragerii gingiilor?
Originile retractiei gingivale sunt variate. Este chiar posibil ca aceeași persoană să combine diferiți factori de risc în același timp.
Cunoașterea cauzelor este importantă pentru a le trata în timp util și pentru a preveni retragerea gingiilor. Următoarele sunt circumstanțele cele mai asociate cu tulburarea.
Gingivita si parodontita
Inflamația gingiilor se numește gingivita. Este legat de igiena orală deficitară care favorizează acumularea plăcii bacteriene și a tartrului. Când această acumulare este excesivă, se generează iritația țesutului gingival.
In acelasi sens, parodontita este o evolutie a gingivitei care nu a fost tratata la timp. Această placă și tartru acumulate excesiv formează „buzunare” în țesuturile moi din jurul dinților. Sacii se umplu apoi cu bacterii care încep un proces de infecție și inflamație severă.
Pe măsură ce procesul progresează, țesutul moale din jurul dinților este distrus. Aceasta include și gingiile, care se retrag din cauza aceleiași pierderi de substanță. Cea mai gravă consecință este posibilitatea pierderii dinților, care cad din cauza lipsei de sprijin adecvat.
Cu toate acestea, se poate întâmpla și procesul invers. Retracția gingivală din alte cauze ar putea duce la probleme parodontale (gingivita și parodontoza).

Fumat
Tutunul afectează sănătatea orală în multe feluri. Una dintre ele este inflamația gingiilor, prin substanțele toxice din țigări.
Persoanele care fumează prezintă, de asemenea, un risc mai mare de a dezvolta gingivita și parodontită. Prin urmare, este mai frecvent ca gingiile să se retragă în ele.
Bruxism
Bruxismul se numește strângere inconștientă și scrâșnire a dinților. Forțele mecanice la strângere sunt atât de puternice încât deteriorează țesutul parodontal. Acest obicei nu numai că uzează dinții, dar duce și la recesiunea gingiilor.
Tehnica proastă de periaj dentar
Deși lipsa unei frecvențe bune de periaj duce la apariția plăcii, apoi a gingivitei și, poate, la retragerea gingiilor, este posibil și invers. O frecventa sau putere mare de periaj in contextul unei obsesii pentru igiena dentara va traumatiza tesutul gingival.
Curățarea cu multă presiune din perie sau cu mișcări viguroase care rănesc gingiile nu este recomandată. Dimpotrivă, este un factor de risc pentru deteriorarea și provocarea migrației țesuturilor către rădăcinile dinților.
Ortodontie
Există controverse cu privire la influența reală a ortodonției asupra aspectului gingiilor în retragere. Deși tratamentul singur nu este capabil să provoace tulburarea, crește riscul la persoanele cu gingii subțiri.
De aceea este important ca ortodonția să fie efectuată de profesioniști atestați și cu experiență. In acest fel, miscarea dintilor se face precis si progresiv, incercand sa se mentina la minim traumatismul la nivelul gingiei.
Piercinguri
Moda de a purta bijuterii în gură nu este lipsită de riscuri pentru sănătate. O publicație științifică din Jurnalul Internațional de Igienă Dentară evidențiază faptul că piercing-urile buzelor și limbii sunt direct asociate cu recesiunea gingivală.
Cea mai probabilă explicație este că frecarea bijuteriilor împotriva gingiilor este traumatică. Prin urmare, țesutul se retrage ca mecanism de apărare.

Există tratamente eficiente pentru gingiile în retragere?
Gingiile nu au capacitatea de a se regenera. Dacă retracția gingivală este confirmată, trebuie aplicat un tratament ghidat de un medic stomatolog.
Medicul va stabili cauza cea mai probabilă a problemei. Acest diagnostic va fi cheia pentru planificarea terapiei adecvate care are șanse de succes.
De exemplu, dacă originea este o bijuterie sau un periaj excesiv, abordarea va fi mai simplă și va necesita mai puțin timp, deoarece se va concentra pe eliminarea agentului cauzal. Dimpotrivă, dacă există parodontită, tratamentul este pe termen lung, deoarece există diferite aspecte de abordat pentru a îmbunătăți întreaga sănătate a gurii.
Procedurile terapeutice pot fi împărțite în două grupuri mari:
- Non chirurgical
- Chirurgical
Tratamente nechirurgicale pentru gingiile în retragere
Dacă problema este ușoară și nu există complicații, este posibil să se renunțe la intervenții chirurgicale. Opțiunea este de a plasa agenți chimici pentru a reduce sensibilitatea asociată cu retracția.
Pentru a face acest lucru, medicul dentist aplică sau prescrie una dintre următoarele substanțe:
- Fluor: prin lacuri sau indicat ca ingredient în paste de dinți și ape de gură specifice.
- Oxid de zinc: Un ingredient din unele paste de dinți desensibilizante care pot sigila tubii dentinari.
- Clorura de stronțiu: blochează semnalele de la nervii dentinali pentru a controla durerea și este un ingredient în pastele de dinți.
- Arginina: acest aminoacid este folosit si pentru a sigila tubii dentinari, ajutand la reducerea transmiterii stimulilor durerosi.
- Nitrat de potasiu: Acesta este un compus care blochează semnalele nervoase, cum ar fi clorura de stronțiu. Poate fi găsit și în pastele de dinți pentru dinții sensibili.
Utilizarea remediilor de la domiciliu pentru retracția gingială și a altor substanțe este la latitudinea profesioniștilor, deoarece multe opțiuni sunt neacceptate sau sunt încă experimentale. De exemplu, există rapoarte de cazuri în care se folosește propolis. Chiar și așa, acești compuși ar trebui întotdeauna evaluați în cadrul îngrijirii cu un specialist.
Pe de altă parte, restaurările compozite adezive sunt abordări non-chirurgicale care implică plasarea de substanțe de culoarea dinților pentru a acoperi rădăcina expusă. Acest lucru previne problema de sensibilitate.
Descoperiți: Gustul amar în gură: care sunt cauzele și soluțiile?
Tratamente chirurgicale pentru gingiile în retragere
După cum sugerează o analiză a literaturii din 2018, există diferite moduri de a trata gingiile în retragere. De cele mai multe ori, o abordare chirurgicala este necesara si inevitabila daca dorim sa imbunatatim estetica si sa prevenim viitoarele complicatii.
Tehnicile cele mai utilizate de stomatologi sunt următoarele:
- Gum lift: denumirea tehnică este un lambou mobilizat coronal. Unele condiții trebuie îndeplinite în gură pentru ca tehnica să fie viabilă și eficientă. De exemplu, papilele interdentare (triunghiurile gingiei dintre dinte și dinte) trebuie bine conservate. În sine, intervenția chirurgicală constă în prelevarea unei părți din gingie, desprinderea ei ca un „plic”, datorită unei incizii, mutarea ei și utilizarea ei pentru a umple spațiile rămase goale.
- Grefa de gingie: numită și chirurgie plastică mucogingivală, constă în luarea unei părți din mucoasa gurii pentru a o grefa în zona lipsă a gingiei pe care dorim să o umplem. Astfel, rădăcinile dinților sunt acoperite. Deși poate părea oarecum complex atunci când o descriem, este o intervenție chirurgicală simplă și rapidă. Contraindicația sa este prezența parodontitei. Deși grefa are diferite variante în execuție, analizele științifice nu au constatat încă că una este superioară alteia.
- Chirurgia parodontala: cazurile severe cu boala parodontala avansata, deficienta mare de tesut si posibilitatea pierderii dintilor, trebuie abordate prin interventii chirurgicale complexe. Ceea ce se cauta este sa se aseze material de obturatie sau grefe mari care sa acopere nu doar gingia lipsa, ci si osul care s-a degradat din cauza procesului inflamator.
Experimentele pe animale sunt în prezent dezvoltate pentru a îmbunătăți opțiunile de tratament viitoare pentru oameni. Printre aceste alternative se numără utilizarea celulelor stem pentru a regenera gingia pierdută, precum și implantarea țesuturilor biosintetice.

Schimbarea obiceiurilor
Angajamentul din partea pacientului este esențial pentru succesul tratamentului gingiilor în retragere. Modificarea comportamentelor care ar putea favoriza retragerea va preveni reapariția problemei.
În acest sens, este bine să înveți și să exersezi tehnica corectă de periaj pentru a evita greșelile atunci când te speli pe dinți. Cu medicul dentist puteți discuta despre cel mai bun tip de perie și despre pastele de dinți care ar putea reduce sensibilitatea.
Obiceiurile dăunătoare ar trebui oprite, cum ar fi fumatul. Iar dacă ai un piercing în gură, va trebui să-l îndepărtezi, deoarece trauma pe care o generează nu va permite o vindecare adecvată.
Pot fi prevenite gingiile în retragere?
Este posibil să se ia unele măsuri pentru a reduce riscul de recesiune a gingiilor. Nu va fi întotdeauna posibil, dar dacă aplicați următoarele sfaturi, vă puteți îmbunătăți șansele de a nu suferi de această tulburare:
- Spală-te pe dinți de cel puțin două ori pe zi. Utilizați o tehnică de periaj blând și folosiți ata dentară zilnic. Vă puteți ajuta cu o periuță de dinți electrică, deoarece unele modele sunt vândute cu senzori de presiune pentru a vă alerta când aplicați prea multă forță.
- Programați controale stomatologice regulate. Vizitele la medicul stomatolog vă vor permite să depistați din timp condițiile care duc la retracția. Apoi, respectați instrucțiunile profesionistului pentru tratamente.
- Dacă ai nevoie de ortodonție, evaluează cu atenție ce profesionist vei întâlni. Incearca sa gasesti un cabinet avizat pentru specialitate si cu experienta.
- Folosiți apărătoare de gură dacă aveți bruxism.
- Nu mai fumați.
Dacă aveți deja un diagnostic confirmat, obiectivul va fi evitarea recidivei. Pentru a face acest lucru, măsurile indicate de medicul stomatolog nu sunt opționale. Respectarea lor la litera te va face sa-ti recapeti sanatatea si sa zambesti din nou cu incredere.
Toate sursele citate au fost revizuite în profunzime de către echipa noastră pentru a asigura calitatea, fiabilitatea, actualitatea și valabilitatea lor. Bibliografia acestui articol a fost considerată fiabilă și precisă din punct de vedere academic sau ştiinţific.
- Bahal, P., Malhi, M., Shah, S., & Ide, M. (2019). Managing the consequences of periodontal diseases/treatment: gingival recession. Dental Update, 46(10), 966-977. https://www.magonlinelibrary.com/doi/abs/10.12968/denu.2019.46.10.966
- Heasman, P. A., Ritchie, M., Asuni, A., Gavillet, E., Simonsen, J. L., & Nyvad, B. (2017). Gingival recession and root caries in the ageing population: a critical evaluation of treatments. Journal of clinical periodontology, 44, S178-S193. https://onlinelibrary.wiley.com/doi/full/10.1111/jcpe.12676
- Hennequin‐Hoenderdos, N. L., Slot, D. E., & Van der Weijden, G. A. (2016). The incidence of complications associated with lip and/or tongue piercings: a systematic review. International journal of dental hygiene, 14(1), 62-73. https://onlinelibrary.wiley.com/doi/abs/10.1111/idh.12118
- Jati, A. S., Furquim, L. Z., & Consolaro, A. (2016). Gingival recession: its causes and types, and the importance of orthodontic treatment. Dental press journal of orthodontics, 21, 18-29. https://www.scielo.br/j/dpjo/a/Q5JFsKRd6fm3kvkT3QsKmsq/
- Masud, M., Al-Bayaty, F. H., Muhamed, N. A. H., Alwi, A. S., Takiyudin, Z., & Hidayat, M. F. H. (2017). Gingival Recession and Dentine Hypersensitivity in Periodontal Patients: is It Affecting Their Oral Health Related Quality of Life?. Journal of International Dental and Medical Research, 10(3), 909-914. https://search.proquest.com/openview/88de5fcb72ee17782249edfe600545ae/1?pq-origsite=gscholar&cbl=1036416
- Mostafa, D., & Mandil, O. A. (2021). Treatment of gingival recession defects using non-invasive pinhole technique with propolis application, a case report. International Journal of Surgery Case Reports, 83, 106042. https://www.sciencedirect.com/science/article/pii/S2210261221005447
- Mythri, S., Arunkumar, S. M., Hegde, S., Rajesh, S. K., Munaz, M., & Ashwin, D. (2015). Etiology and occurrence of gingival recession-An epidemiological study. Journal of Indian Society of Periodontology, 19(6), 671. https://www.ncbi.nlm.nih.gov/pmc/articles/PMC4753713/
- Rubnikovich, S. P., Denisova, Y. L., Vladimirskaya, Т. E., Andreyeva, V. А., Kvacheva, Z. B., Panasenkova, G. Y., & Volotovsky, I. D. (2018). Regenerative cell technologies for gingival recession treatment. Современные технологии в медицине, 10(4 (eng)), 94-102. https://cyberleninka.ru/article/n/regenerative-cell-technologies-for-gingival-recession-treatment
- Shkreta, M., Atanasovska-Stojanovska, A., Dollaku, B., & Belazelkoska, Z. (2018). Exploring the gingival recession surgical treatment modalities: A literature review. Open access Macedonian journal of medical sciences, 6(4), 698. https://www.ncbi.nlm.nih.gov/pmc/articles/PMC5927507/
- Sidharthan, S., Dharmarajan, G., Kale, S., Dharmadhikari, S., & Chordia, D. (2023). Comparison of the effectiveness of Gingival unit transfer and free Gingival graft in the management of localized Gingival recession-A systematic review. Journal of Oral Biology and Craniofacial Research, 13(2), 130-137. https://www.sciencedirect.com/science/article/pii/S221242682200166X
- Zucchelli, G., Stefanini, M., Ganz, S., Mazzotti, C., Mounssif, I., & Marzadori, M. (2016). Coronally Advanced Flap with Different Designs in the Treatment of Gingival Recession: A Comparative Controlled Randomized Clinical Trial. https://pubmed.ncbi.nlm.nih.gov/27100801/
Acest text este oferit numai în scop informativ și nu înlocuiește consultarea cu un profesionist. În caz de îndoieli, consultați-vă cu specialistul dvs.







